0586-77-11180586-77-1118

Archive for the ‘blog’ Category

没頭中

お休みの日は、ロジックに没頭しています。

 昔、姉がやっているのをみていつの間にか自分もハマっちゃいました。

そのおかげで、披露宴で少し恥ずかしい思いもしました(^-^;(笑)

 頭が弱いので、難しいのは解くのに時間がかかりますが…。

たまに、気づくと昼ご飯も忘れ夕方になってるコトも多いです。。(汗)

ちなみに、このクッピーは自分ではナカナカ解けなかったので 頭の良い友達に強引に押し付けて完成したものです☆ 松岡

2011.02.10 17:13|blog

香り好き♪

私は香水の様な強い香りより柔軟剤などほのかに香りが持続するものが大好きなんです♪

なので我が家では柔軟剤やらボディクリームやらルームフレグランスやら香り系がいっぱいあります!

特にバリ島柔軟剤の【moluto】はとてもいい香り♪

バリ島に行った時ホテルのシーツやスパで使ったタオルとかとてもいい香りがしたんです。

聞くとバリ島で多くのホテルやスパでこの【moluto】を使ってるとのことでした。

バリ島に住む友人が帰国する度にお土産にいつも頂くのですがネット通販でもきっと今は手に入るかと思います。

ダウニーも大好きなのですがサーフィンのウエットスーツ用のダウニーもあるんですよ☆

 柔軟剤以外にもキャンドルやスティックフレグランスやらいろいろあります。

そんな香り好きな私を知る友人からアロマの香りを放つ空気清浄機を頂きました♪ が、我が家ではいろんな香りが所々でしているので何の香りがしているかはわかりません(笑)

ぜひ皆さんおすすめの柔軟剤や香りがありましたら教えてくださいね♪ 田中

2011.02.08 10:59|blog

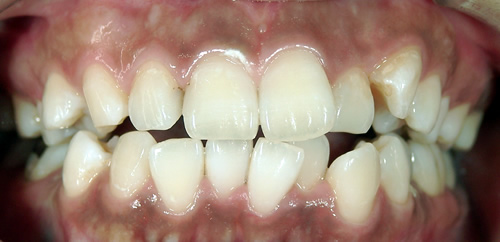
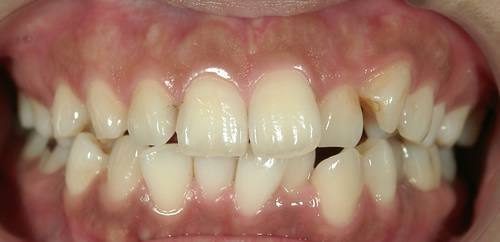
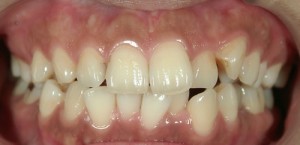
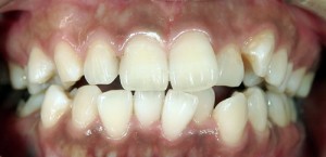
オフィスホワイトニング始めます

ブログをお読みの皆さまへお知らせです!!

オフィスホワイトニングを始めま~す!

今まではホームホワイトニングだけでしたが、今回オフィスホワイトニングを導入することにしました。(機材入荷待ちですが・・・・)

今回導入するホワイトニングの特徴は、ほとんどしみたり、痛みが出たりしません。

 興味のある方は、この機会にぜひお試しください♪

2011.02.06 17:17|blog

山ガール?????

『富士山に登りたい!!』

ずっと以前から思っていました。

ただ思っているだけでは、実現できません!

なので、出来ることから少しずつ準備を始めることにしました(^^)v

まずは【靴下】から・・・(^^;)

 じっくり身体をつくってから挑戦しなくてはいけないとの事ですので、目標は、≪来年夏≫です。

 誰ですか~?山姥って言っている人・・・前田

2011.02.06 17:05|blog

ケーキ屋さんのおススメ♪

先日のブログで紹介してありました『花がすみ』さん。

私、前田のおススメは【アップルパイ】です♪♪♪

 ホールがある時は、必ずホールでお買い上げ~(^^)v

美味しいリンゴの時期にしか作れない「季節限定品」です。

毎年【アップルパイ】がお店に並ぶと、「秋だなぁ♪」と実感!

そして春になると・・・お店から「さようなら~!」 そろそろお別れのシーズンです(;。;) でも、【アップルパイ】がお別れになっても大丈夫です♪

美味しいケーキ達が私を待ってますから・・・(^m^)

2011.02.06 17:03|blog


Warning: Undefined variable $additional_loop in /home/mmpartners/tomita-dc.net/public_html/blog/wp-content/themes/tomita/archive.php on line 41

Warning: Attempt to read property "max_num_pages" on null in /home/mmpartners/tomita-dc.net/public_html/blog/wp-content/themes/tomita/archive.php on line 41
  • 最近の投稿

  • カテゴリー

  • アーカイブ

初めての方へ

初めての方へ

  • 院内見学

診療カレンダー

Calendar Loading

※赤の日が休診です。
※黄の日は、矯正治療日です。

とみたデンタルクリニック

0586-77-1118

                           
診療時間 日祝
9:00~13:00
14:30~19:00

◎土曜日…午前9:00~13:00、午後14:00~18:30

※初診、急患の患者さんは、処置によっては時間がかかるため、午前は12時まで、午後は18時30分まで(土曜は17時30分まで)の受付といたします。